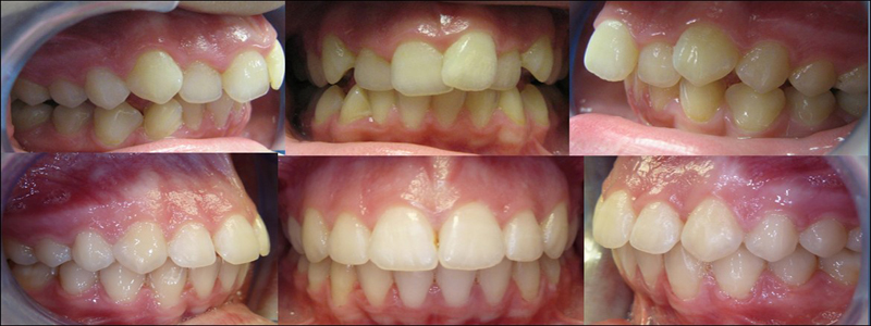
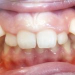
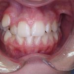
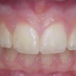
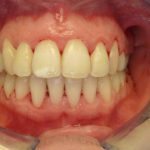
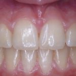
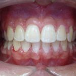
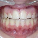
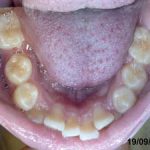
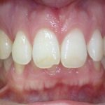
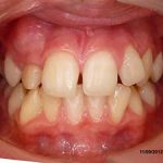
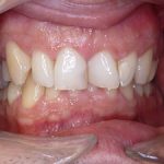
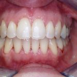
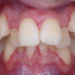
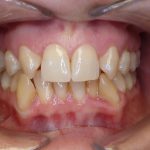
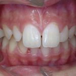
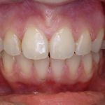
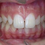
Come evolvono i vostri denti In questa pagina potrete cliccare sul codice datovi dal vostro dentista che corrisponde alla vostra terapia e vedrete lo sviluppo nel tempo. M0034 M0035 M0042 M0043 M0046 M0047 M0057 M0059 M0061 M0063 M0064 M0072 M0075 M0088 M0090 M0103 M0104 M0105 M0110 M0113 M0119 M0124 M0127 M0132 M0133 M0138 M0139 M0141 M0146 M0147 M0152 M0157 M0159 M0163 M0165 M0166 M0175 M0186 S0038 S0042 S0045 S0046 S0067 S0094 S0101 S0104 S0108 S0116 S0117 S0126 S0131